Contenidos
Callo en hueso fracturado
6 etapas de la curación del hueso
La reparación de las fracturas óseas es un proceso natural: el cuerpo humano tiene una capacidad increíble para hacer crecer hueso nuevo después de una rotura. Sin embargo, las fracturas deben situarse en el entorno óptimo para garantizar una curación adecuada y completa.
El tratamiento de las fracturas depende de la localización, la gravedad y el tipo de fractura que se sufra. Algunas fracturas pueden tratarse con un dispositivo de inmovilización como un yeso o una férula, mientras que las fracturas compuestas más graves pueden requerir una reparación quirúrgica.
Una vez administrado el tratamiento, comienza el verdadero trabajo. Las fracturas óseas requieren estabilidad, una buena nutrición y un buen flujo sanguíneo para curarse adecuadamente durante las siguientes semanas. Siga leyendo para saber más sobre el proceso de curación de las fracturas y los consejos para acelerar la recuperación.
El periodo medio de recuperación de una fractura ósea es de 6 a 8 semanas. Sin embargo, ese periodo puede ser más largo o más corto según la localización y el tipo de fractura. Las fracturas compuestas pueden tardar varias semanas más o incluso meses en curarse por completo.
Hay varios factores que pueden ralentizar el proceso de curación (una unión retardada) o hacer que no se cure (una no unión). Los siguientes factores de riesgo aumentan las posibilidades de una unión retardada o una no unión.
eliminación del callo óseo
Cuando un hueso se rompe, el cuerpo envía señales para que células especiales acudan a la zona lesionada. Algunas de estas células especiales hacen que la zona lesionada se inflame (se ponga roja, se hinche y duela). Esto indica al cuerpo que deje de utilizar la parte lesionada para que pueda curarse.
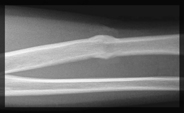
La etapa de remodelación comienza unas 6 semanas después de la lesión. En esta fase, el hueso normal sustituye al callo duro. Si vieras una radiografía del hueso en proceso de curación, tendría un aspecto irregular. Pero a lo largo de los siguientes meses, el hueso se remodela para que vuelva a tener el mismo aspecto que antes de la lesión.
formación de callos fibrocartilaginosos
Por lo general, el tratamiento de las fracturas óseas consiste en que el médico reduzca (empuje) los huesos desplazados a su sitio mediante su recolocación con o sin anestesia, estabilice su posición para ayudar a la unión y espere a que se produzca el proceso natural de curación del hueso.
Se ha comprobado que una ingesta adecuada de nutrientes afecta de forma significativa a la integridad de la reparación de la fractura[1] La edad, el tipo de hueso, el tratamiento farmacológico y la patología ósea preexistente son factores que afectan a la curación. La función de la cicatrización ósea es producir hueso nuevo sin una cicatriz como la que se observa en otros tejidos, lo que supondría una debilidad o deformidad estructural[2].
El proceso de toda la regeneración del hueso puede depender del ángulo de luxación o fractura. Si bien la formación ósea suele abarcar toda la duración del proceso de curación, en algunos casos, la médula ósea dentro de la fractura ha sanado dos o menos semanas antes de la fase de remodelación final[cita requerida].
Aunque la inmovilización y la cirugía pueden facilitar la cicatrización, una fractura acaba cicatrizando mediante procesos fisiológicos. El proceso de curación está determinado principalmente por el periostio (la membrana de tejido conectivo que recubre el hueso). El periostio es una fuente de células precursoras que se convierten en condroblastos y osteoblastos, esenciales para la curación del hueso. Otras fuentes de células precursoras son la médula ósea (cuando está presente), el endostio, los pequeños vasos sanguíneos y los fibroblastos[3].
¿el callo óseo desaparece?
Cuando un hueso se rompe, el cuerpo envía señales para que unas células especiales acudan a la zona lesionada. Algunas de estas células especiales hacen que la zona lesionada se inflame (se ponga roja, se hinche y duela). Esto indica al cuerpo que deje de utilizar la parte lesionada para que pueda curarse.
La etapa de remodelación comienza unas 6 semanas después de la lesión. En esta fase, el hueso normal sustituye al callo duro. Si vieras una radiografía del hueso en proceso de curación, tendría un aspecto irregular. Pero a lo largo de los siguientes meses, el hueso se remodela para que vuelva a tener el mismo aspecto que antes de la lesión.

